암진단 사례

아산유외과
암진단 사례입니다.

내용보기
아산유외과개원후 838번째 유방암진단
작성자 관리*** 등록일 2022-12-05 15:18:05 조회수 400
첨부파일 첨부파일 없음

 

 

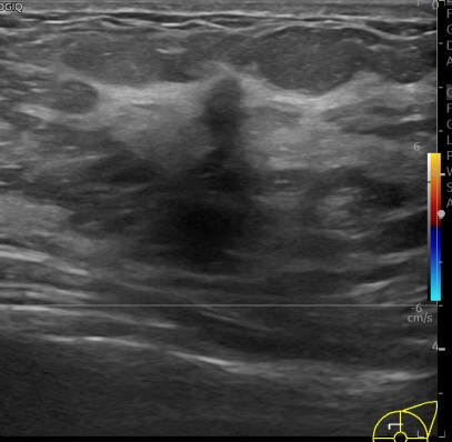
상기환자는 외부건진이상 조직검사 권유받아 내원하신 40대중반

여성분으로 의심스러운 좌측혹 조직검사 시행해  유방암 진단되었습니다   

0개의 코멘트가 있습니다.