암진단 사례

아산유외과
암진단 사례입니다.

내용보기
아산유외과개원후 95번째 갑상선암진단
작성자 관리*** 등록일 2022-11-16 16:32:54 조회수 401
첨부파일 첨부파일 없음

 

 

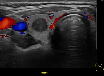
상기환자 외부건강검진이상소견으로 세침검사위해 내원하신 20대후반 여성분으로 

의심스러운 갑상선 우엽 결절 세포검사 진행후 갑상선암으로 진단되었습니다 

 

0개의 코멘트가 있습니다.