암진단 사례

아산유외과
암진단 사례입니다.

내용보기
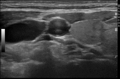
아산유외과개원후 92번째 갑상선암진단
작성자 관리*** 등록일 2022-09-29 15:52:21 조회수 337
첨부파일 첨부파일 없음

 

상기환자  갑상선 양성 추정결절  추적관찰차 내원하신 60대중반 여성분으로 의심스러운 갑상선 우엽 결절 세포검사진행후 갑상선암으로 진단되었습니다 

0개의 코멘트가 있습니다.