아산유외과의원
menu
icon1
온라인상담
icon2
온라인예약
icon3
오시는길
icon4
진료시간
icon1
로그인
icon2
회원가입
icon3
ID/비번찾기
원장소개
병원소개
맘모톰클리닉
유방암클리닉
갑상선클리닉
암진단사례
건강TV
home
암진단 사례
암진단 사례
아산유외과
암진단 사례
입니다.
내용보기
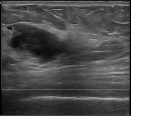
아산유외과개원후 832번째 유방암진단
작성자
관리***
등록일
2022-09-19 08:23:58
조회수
373
첨부파일
첨부파일 없음
상기환자는 좌측 겨드랑이 만져지는 멍울과 통증으로 내원하신 40대중반
여성분으로 의심스러운 좌측혹 조직검사 시행해 유방암으로 진단되었습니다
0개의 코멘트가 있습니다.
이름
제목
내용
검색
게시판 입니다
번호
제목
작성자
등록일
871
아산유외과개원후 96번째 갑상선암진단
관리***
2022.11.28
870
아산유외과개원후 837번째 유방암진단
관리***
2022.11.23
869
아산유외과개원후 95번째 갑상선암진단
관리***
2022.11.16
868
아산유외과개원후 836번째 유방암진단
관리***
2022.11.08
867
아산유외과개원후 94번째 갑상선암진단
관리***
2022.10.31
866
아산유외과개원후 835번째 유방암진단
관리***
2022.10.25
865
아산유외과개원후 93번째 갑상선암진단
관리***
2022.10.18
864
아산유외과개원후 834번째 유방암진단
관리***
2022.10.11
863
아산유외과개원후 833번째 유방암진단
관리***
2022.10.04
862
아산유외과개원후 92번째 갑상선암진단
관리***
2022.09.29
861
아산유외과개원후 832번째 유방암진단
관리***
2022.09.19
860
아산유외과개원후 831번째 유방암진단
관리***
2022.09.13
859
아산유외과개원후 91번째 갑상선암진단
관리***
2022.09.05
858
아산유외과개원후 830번째 유방암진단
관리***
2022.08.29
857
아산유외과개원후 90번째 갑상선암진단
관리***
2022.08.22
<<
11
12
13
14
15
16
17
18
19
20
>>