암진단 사례

아산유외과
암진단 사례입니다.

내용보기
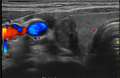
아산유외과개원후 89번째 갑상선암진단
작성자 관리*** 등록일 2022-08-01 08:25:37 조회수 299
첨부파일 첨부파일 없음

 

 

상기환자  외부 건진상 이상소견으로 내원하신 40대후반 여성분으로 의심스러운 갑상선 우엽 결절 세포검사진행, 반절제 시행후 갑상선암으로 진단되었습니다

0개의 코멘트가 있습니다.