아산유외과의원
menu
icon1
온라인상담
icon2
온라인예약
icon3
오시는길
icon4
진료시간
icon1
로그인
icon2
회원가입
icon3
ID/비번찾기
원장소개
병원소개
맘모톰클리닉
유방암클리닉
갑상선클리닉
암진단사례
건강TV
home
암진단 사례
암진단 사례
아산유외과
암진단 사례
입니다.
내용보기
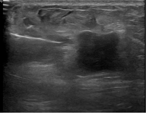
아산유외과개원후 827번째 유방암진단
작성자
관리***
등록일
2022-07-25 11:22:38
조회수
395
첨부파일
첨부파일 없음
상기환자는 좌측 만져지는 멍울로 내원하신 60대초반
여성분으로 의심스러운 좌측혹 조직검사 시행해 침윤성암으로 진단되었습니다
0개의 코멘트가 있습니다.
이름
제목
내용
검색
게시판 입니다
번호
제목
작성자
등록일
856
아산유외과개원후 829번째 유방암진단
관리***
2022.08.16
855
아산유외과개원후 828번째 유방암진단
관리***
2022.08.10
854
아산유외과개원후 89번째 갑상선암진단
관리***
2022.08.01
853
아산유외과개원후 827번째 유방암진단
관리***
2022.07.25
852
아산유외과개원후 826번째 유방암진단
관리***
2022.07.19
851
아산유외과개원후 88번째 갑상선암진단
관리***
2022.07.12
850
아산유외과개원후 825번째 유방암진단
관리***
2022.06.27
849
아산유외과개원후 87번째 갑상선암진단
관리***
2022.06.17
848
아산유외과개원후 824번째 유방암진단
관리***
2022.06.10
847
아산유외과개원후 823번째 유방암진단
관리***
2022.06.02
846
아산유외과개원후 85번째 갑상선암진단
관리***
2022.05.26
845
아산유외과개원후 822번째 유방암진단
관리***
2022.05.16
844
아산유외과개원후 821번째 유방암진단
관리***
2022.05.04
843
아산유외과개원후 84번째 갑상선암진단
관리***
2022.04.28
842
아산유외과개원후 820번째 유방암진단
관리***
2022.04.21
<<
11
12
13
14
15
16
17
18
19
20
>>