암진단 사례

아산유외과
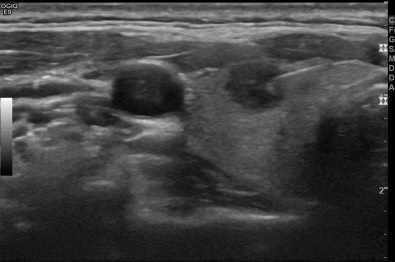
암진단 사례입니다.

내용보기
아산유외과개원후 88번째 갑상선암진단
작성자 관리*** 등록일 2022-07-12 08:17:39 조회수 378
첨부파일 첨부파일 없음

 

상기환자  외부 건진상 이상소견으로 내원하신 30대후반 여성분으로 의심스러운 갑상선 우엽 결절 세포검사진행후 갑상선암으로 진단되었습니다

 

0개의 코멘트가 있습니다.