암진단 사례

아산유외과
암진단 사례입니다.

내용보기
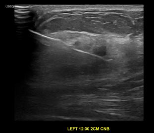
아산유외과개원후 821번째 유방암진단
작성자 관리*** 등록일 2022-05-04 15:38:36 조회수 321
첨부파일 첨부파일 없음

 

 

 

 

상기환자는 만져지는 멍울로  내원하신 40대후반

여성분으로 의심스러운 좌측혹 조직검사 시행해 침윤성암 으로 진단되었습니다     

0개의 코멘트가 있습니다.