암진단 사례

아산유외과
암진단 사례입니다.

내용보기
아산유외과개원후 820번째 유방암진단
작성자 관리*** 등록일 2022-04-21 10:48:36 조회수 355
첨부파일 첨부파일 없음

 


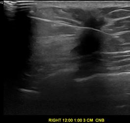
상기환자는 만져지는 멍울로  내원하신 40대
여성분으로 의심스러운 우측혹 조직검사 시행해 침윤성암 으로 진단되었습니다     

 

0개의 코멘트가 있습니다.