암진단 사례

아산유외과
암진단 사례입니다.

내용보기
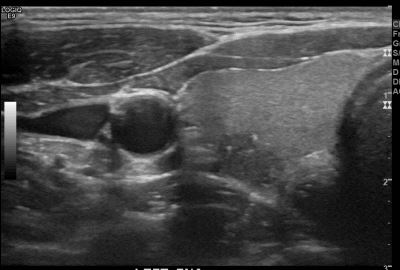
아산유외과개원후 83번째 갑상선암진단
작성자 관리*** 등록일 2022-04-13 09:11:47 조회수 274
첨부파일 첨부파일 없음

 

상기환자  외부 건진상 이상소견으로 내원하신 30대 중반 남성분으로 의심스러운 갑상선 좌엽 결절 세포검사진행후 갑상선암으로 진단되었습니다 

0개의 코멘트가 있습니다.