암진단 사례

아산유외과
암진단 사례입니다.

내용보기
아산유외과 개원 후 69번째 유방암진단.
작성자 관리*** 등록일 2014-10-20 22:07:43 조회수 737
첨부파일 첨부파일 없음

 

 

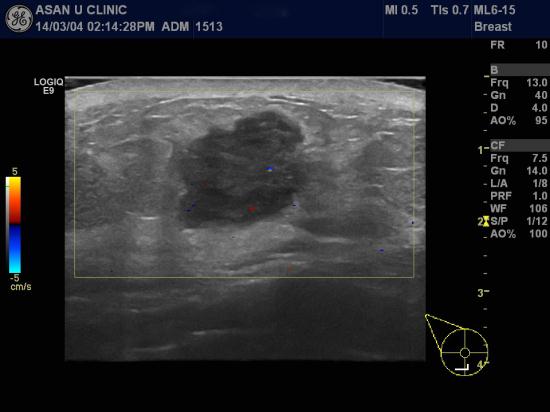
어느날 갑자기 우측 유방 아래부분에 멍울이 만져져 내원하신


47세 미혼 여성 분입니다.


마지막 검사력은 5,6년전 유방촬영이였다고 하시네요.


유방초음파상 이상소견 보인 6시반방향과 9시방향에서

각각 유방의 침윤성 유관암이 조직검사로 확인되었으며,


같은쪽 겨드랑이에 비대된 림프절에서도 전이암이 진단되어


현재 정밀 검사중입니다.


이분처럼, 특히 임신과 수유경험이 없는 40,50대 여성은
본인의 유방이 어떠한지 꼭 확인해야 합니다.


감사합니다.

0개의 코멘트가 있습니다.