암진단 사례

아산유외과
암진단 사례입니다.

내용보기
아산유외과개원후 816번째 유방암진단
작성자 관리*** 등록일 2022-03-14 08:43:33 조회수 293
첨부파일 첨부파일 없음

 

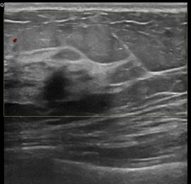
상기환자는 외부검사이상소견으로  내원하신 40대후반
여성분으로 의심스러운 좌측혹 조직검사 시행해 침윤성암 으로 진단되었습니다  

0개의 코멘트가 있습니다.