암진단 사례

아산유외과
암진단 사례입니다.

내용보기
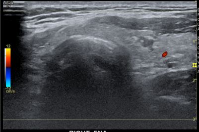
아산유외과개원후 79번째 갑상선암진단
작성자 관리*** 등록일 2022-03-03 08:45:38 조회수 394
첨부파일 첨부파일 없음

 

 

상기환자  외부검사이상소견으로 내원하신 20대 후반 남성분으로 의심스러운 갑상선 우엽결절 세포검사진행후 갑상선암으로 진단되었습니다  

0개의 코멘트가 있습니다.