암진단 사례

아산유외과
암진단 사례입니다.

내용보기
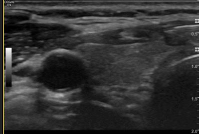
아산유외과개원후 77번째 갑상선암진단
작성자 관리*** 등록일 2022-02-17 08:38:48 조회수 312
첨부파일 첨부파일 없음

 

 


상기환자  외부검사이상소견으로 내원하신 40대 후반 여성분으로 의심스러운 갑상선 우측혹 세포검사진행후 갑상선암으로 진단되었습니다 

0개의 코멘트가 있습니다.