암진단 사례

아산유외과
암진단 사례입니다.

내용보기
아산유외과개원후 811번째 유방암진단
작성자 관리*** 등록일 2022-01-28 08:58:21 조회수 330
첨부파일 첨부파일 없음

 

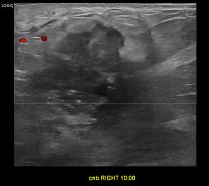
상기환자는 우측만져지는 멍울로 내원하신 50대초반
여성분으로 의심스러운 우측혹 조직검사 시행해 침윤성암 으로 진단되었습니다 

0개의 코멘트가 있습니다.