암진단 사례

아산유외과
암진단 사례입니다.

내용보기
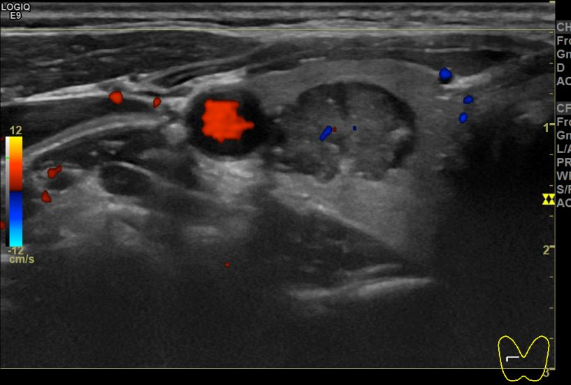
아산유외과개원후 69번째 갑상선암진단
작성자 관리*** 등록일 2021-12-09 08:36:12 조회수 282
첨부파일 첨부파일 없음

 

 

상기환자 외부검사이상소견으로 내원하신 30대 중반 여성분으로 의심스러운 우엽혹 세포검사진행후 갑상선암으로 진단되었습니다    

 

 

0개의 코멘트가 있습니다.