암진단 사례

아산유외과
암진단 사례입니다.

내용보기
아산유외과 개원 후 64번째 유방암 진단.
작성자 관리*** 등록일 2014-10-20 22:00:35 조회수 770
첨부파일 첨부파일 없음

 
 
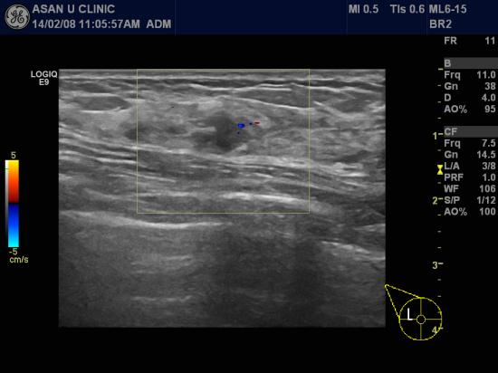
2012년 건강검진시 발견된 유방 결절소견으로 6개월 후 추적관찰 해보라는

권유받은 48세 여성분입니다.

여러 양성형 결절이 젊었을때부터 만져져서 크게 신경쓰지 않아

6개월을 훌쩍 넘긴 상태였고

본원 초음파 검사상 악성으로 의심되는 1.1cm의 결절이 우측 유방 상외측에 있어

조직검사하여

침윤성 유방암 진단되었습니다.

섬유선종과같은 양성소견이 원래 있었던 분일지라도

한국 여성 40대, 50대엔 유방의 정밀 검사가 필요한 이유입니다.

감사합니다.

0개의 코멘트가 있습니다.