암진단 사례

아산유외과
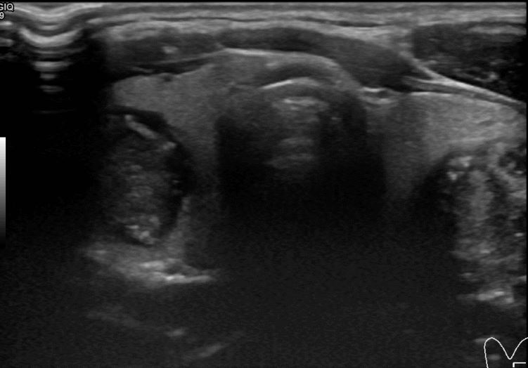
암진단 사례입니다.

내용보기
아산유외과개원후 58번째 갑상선암진단
작성자 관리*** 등록일 2021-10-22 08:52:28 조회수 328
첨부파일 첨부파일 없음

 

 

상기환자 외부검진이후 세침검사위해  내원하신 30대초반 여성분으로 의심스러운 좌엽혹 세포검사진행후 갑상선암으로 진단되었습니다 

0개의 코멘트가 있습니다.