암진단 사례

아산유외과
암진단 사례입니다.

내용보기
아산유외과개원후 799번째 유방암진단
작성자 관리*** 등록일 2021-10-16 08:33:52 조회수 319
첨부파일 첨부파일 없음

 

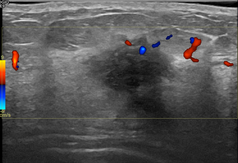
상기환자는 외부검진이상으로 내원하신 40대초반
여성분으로 의심스러운 좌측혹 조직검사 시행해 침윤성암으로 진단되었습니다  

 

0개의 코멘트가 있습니다.