암진단 사례

아산유외과
암진단 사례입니다.

내용보기
아산유외과 개원 후 63번째 유방암 진단.
작성자 관리*** 등록일 2014-10-20 21:59:27 조회수 1037
첨부파일 첨부파일 없음

 
 
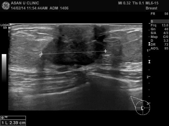
건강검진상 유방에 이상소견있다고 조직검사 의뢰되신

65세 여성분입니다.

내원당시 우측 유방 유두하부에 만져지는 혹과 상외부에
만져지는 1cm전후 크기의 결절이 있었으며

우측 겨드랑이 또한 림프절의 비대가 촉지되는 상태였습니다.

초음파를 시행하여 세개의 혹들이 모두 악성결절의심되어

조직검사 시행하였으며

유방의 두개의 혹은 침윤성 유방암,

우측 겨드랑이의 혹은 전이된 림프절로

진단되었읍니다.

향후 PET scan과 유방 MRI로 더 정밀 검사 할 예정이며

평균수명이 길어져서

나이와 상관없이 적극적 치료를 고려할 것입니다.

빠른쾌유를 기도하면서요.

감사합니다.

 

0개의 코멘트가 있습니다.