암진단 사례

아산유외과
암진단 사례입니다.

내용보기
아산유외과개원후 795번째 유방암진단
작성자 관리*** 등록일 2021-09-28 15:28:28 조회수 781
첨부파일 첨부파일 없음

 

 

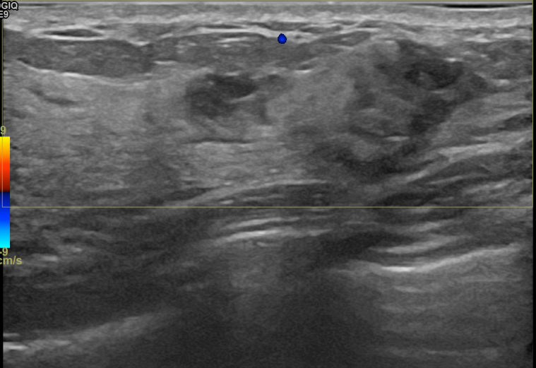
상기환자는 만져지는 멍울로 내원하신 30대후반
여성분으로 의심스러운 우측혹 조직검사 시행해 침윤성암으로 진단되었습니다   

0개의 코멘트가 있습니다.