암진단 사례

아산유외과
암진단 사례입니다.

내용보기
아산유외과개원후 791번째 유방암진단
작성자 관리*** 등록일 2021-09-09 14:54:10 조회수 787
첨부파일 첨부파일 없음

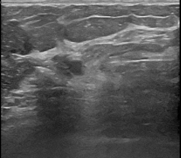
상기환자는 유방 통증으로 내원하신 60대초반
여성분으로 의심스러운 우측혹 조직검사 시행해 침윤성암으로 진단되었습니다    

 

0개의 코멘트가 있습니다.