암진단 사례

아산유외과
암진단 사례입니다.

내용보기
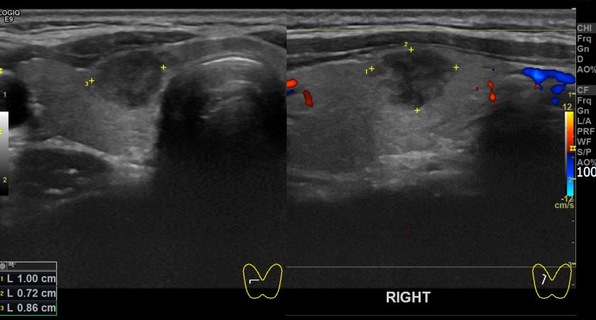
아산유외과개원후 51번째 갑상선암진단
작성자 관리*** 등록일 2021-09-04 11:26:28 조회수 766
첨부파일 첨부파일 없음

 

 


상기환자 건강검진상 이상소견 내원하신 30대중반 여성분으로 우엽 의심스러운혹 세포검사진행후 갑상선암으로 진단되었습니다    

0개의 코멘트가 있습니다.