암진단 사례

아산유외과
암진단 사례입니다.

내용보기
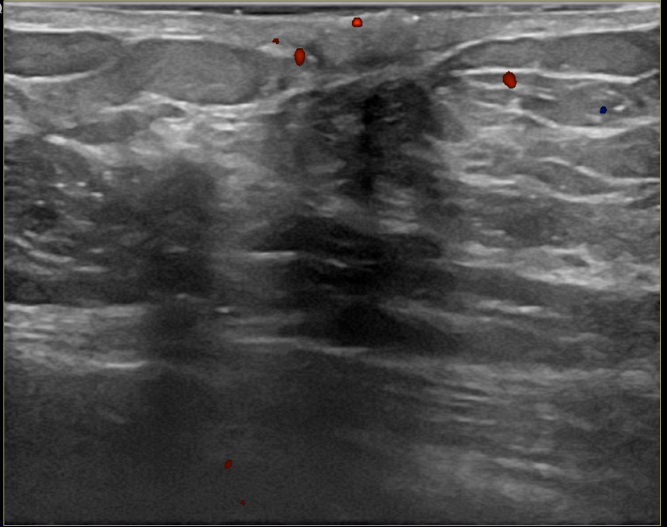
아산유외과개원후 787번째 유방암진단
작성자 관리*** 등록일 2021-08-24 08:55:19 조회수 815
첨부파일 첨부파일 없음

 

상기환자는 외부검사이상으로 조직검사위해 내원하신 60대초반 여성분으로 의심스러운 좌측혹 조직검사 시행해 침윤성암으로 진단되었습니다     

0개의 코멘트가 있습니다.