암진단 사례

아산유외과
암진단 사례입니다.

내용보기
아산유외과개원후 781번째 유방암진단
작성자 관리*** 등록일 2021-08-02 16:10:56 조회수 772
첨부파일 첨부파일 없음

 

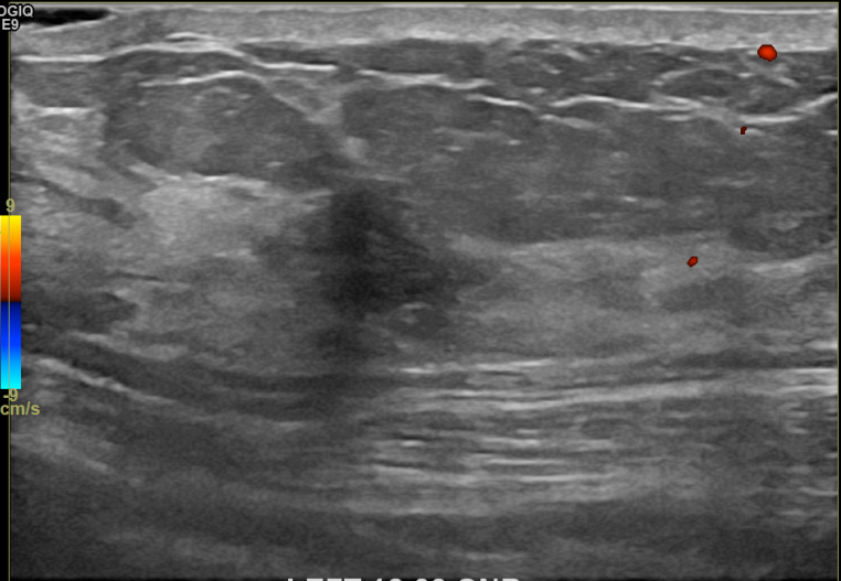
상기환자 외부검사이상으로  내원하신 40대 중반 여성분으로 의심스러운
좌측혹 조직검사 시행해 침윤성암으로 진단되었습니다    

0개의 코멘트가 있습니다.