암진단 사례

아산유외과
암진단 사례입니다.

내용보기
아산유외과개원후 780번째 유방암진단
작성자 관리*** 등록일 2021-07-29 08:50:32 조회수 1002
첨부파일 첨부파일 없음

 


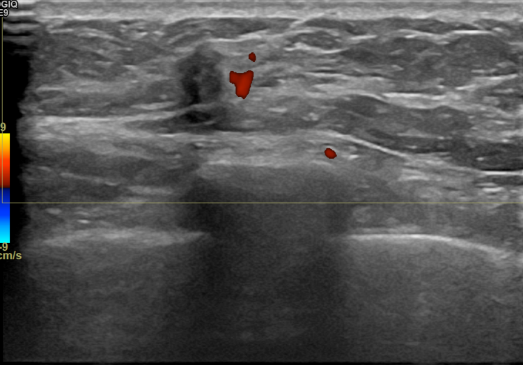
상기환자 유방추적검사위해 내원하신 50대 초반 여성분으로 의심스러운
우측혹 조직검사 시행해 침윤성암으로 진단되었습니다   

0개의 코멘트가 있습니다.