암진단 사례

아산유외과
암진단 사례입니다.

내용보기
아산유외과 개원 후 60번째 유방암 진단.
작성자 관리*** 등록일 2014-10-20 21:53:42 조회수 855
첨부파일 첨부파일 없음

 
 
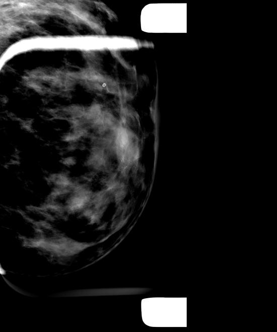
건강검진상 이상소견으로 의뢰된 42세 여성분입니다.

군집된 미세석회화가 좌측유방 하내측에 보이고

유방초음파로 좌측유방 7시방향 유두로부터 2cm 거리에

유관확장과 함께 군집을 이룬 미세석회화가 확인되어 중심핵생검으로

조직검사하여 유관내 상피내암으로 진단되었습니다.

최종 수술후 확진되겠지만

상피내암만 있다면 0기로 생존율과 완치율이 매우 높으며

추가 적인 항암치료없이 경과를 봐도 되는 매우 운좋은 경우가 됩니다.

빠른 쾌유를 기도합니다.

감사합니다.

0개의 코멘트가 있습니다.