암진단 사례

아산유외과
암진단 사례입니다.

내용보기
아산유외과개원후 772번째 유방암진단
작성자 관리*** 등록일 2021-06-30 16:06:34 조회수 731
첨부파일 첨부파일 없음


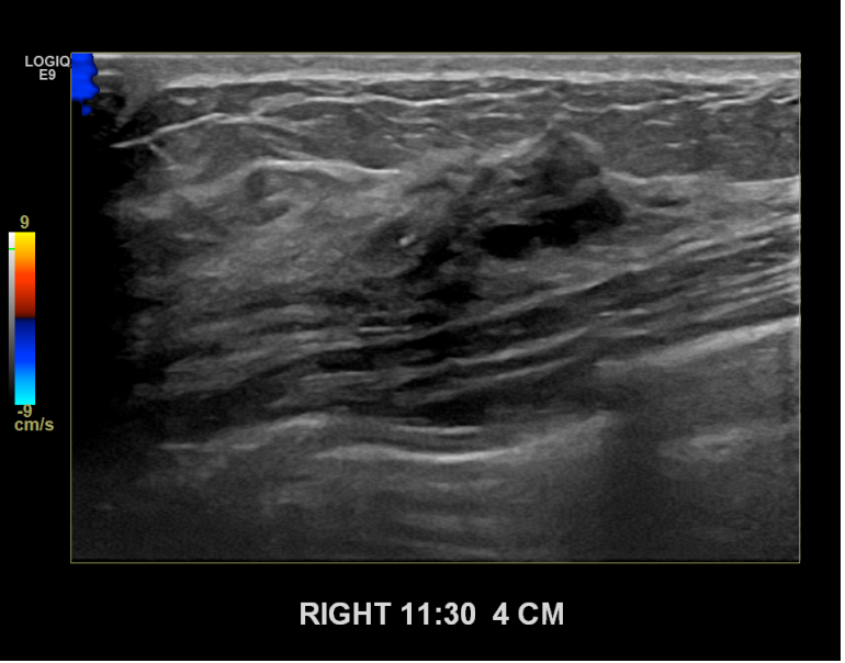
상기환자 경과관찰중이신분으로  우측조직검사를위해  내원하신 40대초반 여성분으로

우측 조직검사 시행해 침윤성암으로 진단되었습니다 

0개의 코멘트가 있습니다.