아산유외과의원
menu
icon1
온라인상담
icon2
온라인예약
icon3
오시는길
icon4
진료시간
icon1
로그인
icon2
회원가입
icon3
ID/비번찾기
원장소개
병원소개
맘모톰클리닉
유방암클리닉
갑상선클리닉
암진단사례
건강TV
home
암진단 사례
암진단 사례
아산유외과
암진단 사례
입니다.
내용보기
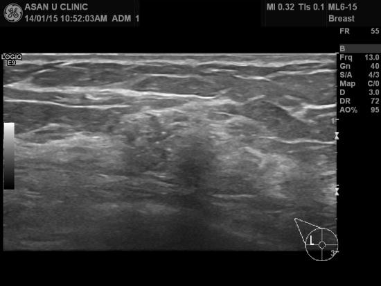
아산유외과 개원 후 59번째 유방암 진단.
작성자
관리***
등록일
2014-10-17 19:13:46
조회수
788
첨부파일
첨부파일 없음
건강검진상 이상소견이 있어 조직검사 위해 의뢰된
53세 여성분입니다.
군집을 이루는 미세석회화가 유방촬영에 보였고
그부위 초음파를 통한 중심핵생검으로 우측유방에 침윤성 유관암이 진단되었습니다.
환자분께선 1달밖에 모유수유를 못해서 생긴건지 의아해하십니다.
이년전 건강검진때는 정상이었다고요......
건강검진이 유방암의 발생을 예방하는 것이 아니라
조기에 진단할 수 있도록 도와주는 것 밖에는 최선의 역할이 없네요.
0개의 코멘트가 있습니다.
이름
제목
내용
검색
게시판 입니다
번호
제목
작성자
등록일
91
아산유외과 개원 후 70번째 유방암진단.
관리***
2014.10.20
90
아산유외과 개원 후 20번째 갑상선암 진단.
관리***
2014.10.20
89
아산유외과 개원 후 69번째 유방암진단.
관리***
2014.10.20
88
아산유외과 개원 후 19번째 갑상선암 진단.
관리***
2014.10.20
87
아산유외과 개원 후 68째 유방암진단.
관리***
2014.10.20
86
아산유외과 개원 후 67번째 유방암진단.
관리***
2014.10.20
85
아산유외과 개원 후 66번째 유방암 진단.
관리***
2014.10.20
84
아산유외과 개원 후 65번째 유방암 진단.
관리***
2014.10.20
83
아산유외과 개원 후 64번째 유방암 진단.
관리***
2014.10.20
82
아산유외과 개원 후 63번째 유방암 진단.
관리***
2014.10.20
81
아산유외과 개원 후 18번째 갑상선암 진단.
관리***
2014.10.20
80
아산유외과 개원 후 62번째 유방암 진단.
관리***
2014.10.20
79
아산유외과 개원 후 61번째 유방암 진단.
관리***
2014.10.20
78
아산유외과 개원 후 60번째 유방암 진단.
관리***
2014.10.20
77
아산유외과 개원 후 59번째 유방암 진단.
관리***
2014.10.17
<<
61
62
63
64
65
66
67
68
69
70
>>