암진단 사례

아산유외과
암진단 사례입니다.

내용보기
아산유외과개원후 769번째 유방암진단
작성자 관리*** 등록일 2021-06-22 15:09:22 조회수 870
첨부파일 첨부파일 없음

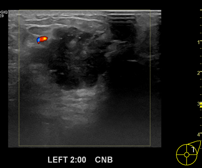
상기환자 좌측만져지는 멍울로 내원하신 50대 여성분으로

좌측 조직검사 시행해 침윤성암으로 진단되었습니다. 

0개의 코멘트가 있습니다.