아산유외과의원
menu
icon1
온라인상담
icon2
온라인예약
icon3
오시는길
icon4
진료시간
icon1
로그인
icon2
회원가입
icon3
ID/비번찾기
원장소개
병원소개
맘모톰클리닉
유방암클리닉
갑상선클리닉
암진단사례
건강TV
home
암진단 사례
암진단 사례
아산유외과
암진단 사례
입니다.
내용보기
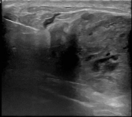
아산유외과 개원후 767번째 유방암진단
작성자
관리***
등록일
2021-06-14 15:29:47
조회수
816
첨부파일
첨부파일 없음
상기환자 만져지는 멍울로 내원하신 30대 후반 여성분으로 우측 조직검사 시행해 침윤성 유방암으로 진단되었습니다
0개의 코멘트가 있습니다.
이름
제목
내용
검색
게시판 입니다
번호
제목
작성자
등록일
766
아산유외과개원후 775번째 유방암진단
관리***
2021.07.12
765
아산유외과개원후 774번째 유방암진단
관리***
2021.07.08
764
아산유외과개원후 773번째 유방암진단
관리***
2021.07.05
763
아산유외과개원후 772번째 유방암진단
관리***
2021.06.30
762
아산유외과개원후 771번째 유방암진단
관리***
2021.06.28
761
아산유외과개원후 770번째 유방암진단
관리***
2021.06.24
760
아산유외과개원후 769번째 유방암진단
관리***
2021.06.22
759
아산유외과개원후 768번째 유방암진단
관리***
2021.06.17
758
아산유외과 개원후 767번째 유방암진단
관리***
2021.06.14
757
아산유외과 개원후 766번째 유방암진단
관리***
2021.06.12
756
아산유외과 개원후 765번째 유방암진단
관리***
2021.05.31
755
아산유외과 개원후 764번째 유방암진단
관리***
2021.05.24
754
아산유외과 개원후 763번째 유방암진단
관리***
2021.05.17
753
아산유외과개원후 762번째 유방암진단
관리***
2021.05.13
752
아산유외과 개원후 761번째 유방암진단
관리***
2021.05.10
<<
11
12
13
14
15
16
17
18
19
20
>>