암진단 사례

아산유외과
암진단 사례입니다.

내용보기
아산유외과 개원후 764번째 유방암진단
작성자 관리*** 등록일 2021-05-24 16:09:52 조회수 892
첨부파일 첨부파일 없음

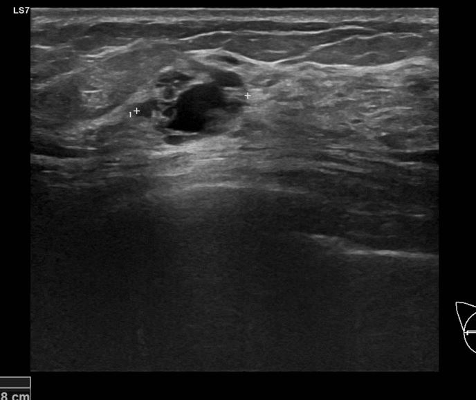
상기환자 외부검사상 이상소견으로 내원하신 50대 후반 여성분으로 우측 조직검사 시행해 침윤성 유방암으로 진단되었습니다 

0개의 코멘트가 있습니다.