암진단 사례

아산유외과
암진단 사례입니다.

내용보기
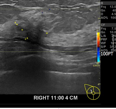
아산유외과 개원후 761번째 유방암진단
작성자 관리*** 등록일 2021-05-10 15:43:39 조회수 776
첨부파일 761.권경임.JPG

상기환자 외부검사상 이상소견으로 내원하신 50대 후반 여성분으로

우측 조직검사 시행해 상피내암으로 진단되었습니다. 

0개의 코멘트가 있습니다.