아산유외과의원
menu
icon1
온라인상담
icon2
온라인예약
icon3
오시는길
icon4
진료시간
icon1
로그인
icon2
회원가입
icon3
ID/비번찾기
원장소개
병원소개
맘모톰클리닉
유방암클리닉
갑상선클리닉
암진단사례
건강TV
home
암진단 사례
암진단 사례
아산유외과
암진단 사례
입니다.
내용보기
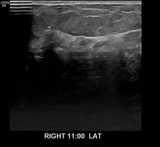
아산유외과개원후 758번째 유방암진단
작성자
관리***
등록일
2021-03-24 12:04:01
조회수
861
첨부파일
첨부파일 없음
상기환자 경과관찰 중이신 50대 여성분으로 우측 유방 의심스러운 혹 조직검사 후 유방암 진단되셨습니다
0개의 코멘트가 있습니다.
이름
제목
내용
검색
게시판 입니다
번호
제목
작성자
등록일
751
아산유외과 개원후 760번째 유방암진단
관리***
2021.04.08
750
아산유외과개원후 759번째 유방암진단
관리***
2021.03.30
749
아산유외과개원후 758번째 유방암진단
관리***
2021.03.24
748
아산유외과개원후 757번째 유방암진단
관리***
2021.03.17
747
아산유외과 개원후 756번째 유방암진단
관리***
2021.02.10
746
아산유외과 개원후 755번째 유방암진단
관리***
2021.01.28
745
아산유외과 개원후 754번째 유방암진단
관리***
2021.01.19
744
아산유외과 개원후 753번째 유방암진단
관리***
2021.01.12
743
아산유외과 개원후 751번째 유방암진단
관리***
2020.12.30
742
아산유외과 개원후 750번째 유방암진단
관리***
2020.12.23
741
아산유외과 개원후 748번째 유방암진단
관리***
2020.12.15
740
아산유외과개원후 747번째 유방암진단
관리***
2020.11.19
739
아산유외과개원후 746번째 유방암진단
관리***
2020.11.09
738
아산유외과개원후 745번째 유방암진단
관리***
2020.10.21
737
아산유외과개원후 744번째 유방암진단
관리***
2020.10.13
<<
21
22
23
24
25
26
27
28
29
30
>>