아산유외과의원
menu
icon1
온라인상담
icon2
온라인예약
icon3
오시는길
icon4
진료시간
icon1
로그인
icon2
회원가입
icon3
ID/비번찾기
원장소개
병원소개
맘모톰클리닉
유방암클리닉
갑상선클리닉
암진단사례
건강TV
home
암진단 사례
암진단 사례
아산유외과
암진단 사례
입니다.
내용보기
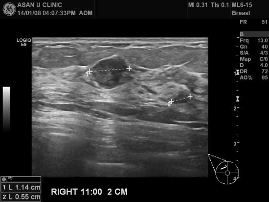
아산유외과 개원 후 56번째 유방암 진단.
작성자
관리***
등록일
2014-10-17 19:07:09
조회수
852
첨부파일
첨부파일 없음
건강검진상 이상소견으로 의뢰된 41세 여성분입니다.
우측유방 상외측에 세개의 혹이 각각의 조직검사상
침윤성 유관암, 비정형 유관 증식증으로 나와
유방의 MRI로 잔여부위의 잔존암 가능성을 검사하고 계십니다.
다행이도 가장 큰 혹이 1.1cm으로 크지 않아
초기로 예상하고 있습니다.
빠른 쾌유를 기도합니다.
감사합니다.
0개의 코멘트가 있습니다.
이름
제목
내용
검색
게시판 입니다
번호
제목
작성자
등록일
76
아산유외과 개원 후 58번째 유방암 진단.
관리***
2014.10.17
75
아산유외과 개원 후 17번째 갑상선암 진단.
관리***
2014.10.17
74
아산유외과 개원 후 57번째 유방암 진단.
관리***
2014.10.17
73
아산유외과 개원 후 56번째 유방암 진단.
관리***
2014.10.17
72
아산유외과 개원 후 55번째 유방암 진단.
관리***
2014.10.17
71
아산유외과 개원 후 54번째 유방암 진단.
관리***
2014.10.17
70
아산유외과 개원 후 53번째 유방암 진단.
관리***
2014.10.17
69
아산유외과 개원 후 52번째 유방암 진단.
관리***
2014.10.17
68
아산유외과 개원 후 16번째 갑상선암 진단.
관리***
2014.10.17
67
아산유외과 개원 후 15번째 갑상선암 진단.
관리***
2014.10.17
66
아산유외과 개원 후 51번째 유방암진단
관리***
2014.10.17
65
아산유외과 개원 후 50번째 유방암진단
관리***
2014.10.17
64
아산유외과 개원 후 49번째 유방암진단
관리***
2014.10.17
63
아산유외과 개원 후 48번째 유방암진단
관리***
2014.10.17
62
아산유외과 개원 후 47번째 유방암진단.
관리***
2014.10.17
<<
61
62
63
64
65
66
67
68
69
70
>>